The baby was very sick.
Cryptosporidium in the water in Sligo has resulted in a baby being admitted to Sligo University Hospital.
A group called Lough Talt Water Warriors posted a statement on Facebook which read: “I was contacted by the mother of this little girl today. With her permission I’m posting this picture to let you know why you should still be boiling your water.
Cryptosporidium is still present and very, very real according to SUH (Sligo University Hospital) records.”
The post was accompanied by a rather disturbing photo showing a baby in a hospital cot alongside her doll.
“The little lady is home from hospital, but was very ill,” they confirmed. “After lots of tests it was an astute nurse who linked the address to the crypto.”
At present, there is a boil notice affecting 13,000 homes served by Lough Talt. This includes the towns of Tubbercurry and Ballymote, a large rural hinterland including the villages of Annagh, Aclare, Bellaghy, Curry, Lavagh, Ballanacarrow, Carrowneden, Kilmacteige and Coolaney.
A 2007 outbreak of Cryptosporidium resulted in 120,000 people being forced to boil their water for five months, at a cost of €19m.
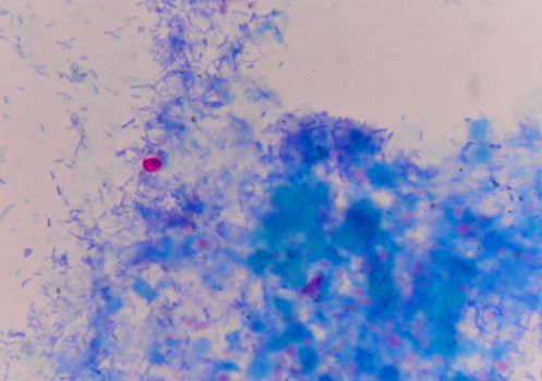
According to the HSE: “Cryptosporidiosis is a diarrhoeal disease caused by a microscopic parasite (Cryptosporidium). Once an animal or person is infected, the parasite lives in the intestine and passes in the stool. The parasite is protected by an outer shell that allows it to survive outside the body for long periods of time and makes it very resistant to chlorine-based disinfectants.”
It is contagious, and is especially dangerous for anyone with a weak immune system.
The symptoms of the illness include:
- Dehydration
- Weight loss
- Stomach cramps or pain
- Fever
- Nausea
- Vomiting
LISTEN: You Must Be Jokin’ podcast – listen to the latest episode now!
