Search icon

Uncategorized

16th Nov 2012

Video: That’s one way to get a key stuck in your foot

What's the best way to take down a black bet in karate? Leave a car key on the mat for him to stand on, like this poor guy.

Oisin Collins

http://www.youtube.com/watch?v=cYPp3CKTf-g

What’s the best way to take down a black bet in karate? Leave a car key on the mat for him to stand on, like this poor guy.

All those years of karate must have really toughened this lad up because when he stands on a car key in the middle of a karate class he just lifts his foot up, has a look just says “Awwww”.

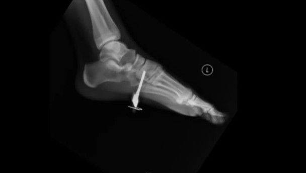
Here’s what the uploader, NKBartek, had to say on YouTube: “On November 12, 2012 I was about to leave the karate school when I remembered that me and Ms Wiora [the woman in the video] needed to go over her self-defence to test for her 4th degree black belt.

“We did the first take-down and it was good. Since I was about to go home I forget to take my car keys out of my pocket. During the second self-defence, I got taken down and as I was falling, my car key fell out of my pocket and my foot slammed it before it fell over.

“The chances were one in a million. My reaction was pretty anti-climactic. I was then taken to the emergency room where they took X-Rays to make sure the key did not fracture a bone or damage any nerves. Thankfully it did not, and I got it removed a few hours later.”

So the next time you’re surrounded in a back alley by a group of karate chopping hoodlums, just throw your keys on the floor.

 

Topics: